Weather Alert: Temple Health remains open, though some appointments or services may be adjusted. Patients will be contacted directly if their visit is affected. Please check TempleHealth.org for updates and monitor myTempleHealth for changes to scheduled appointments.

800-TEMPLE-MED Schedule Appointment
SEARCH TEMPLE HEALTH

Poor Survival After Heart Attack Linked to Excess Levels of Signaling Protein in Heart, Scientists at Lewis Katz School of Medicine At Temple University Report

View All News

Claudio de Lucia, MD, PhD, an associate scientist in the Center for Translational Medicine at LKSOM and lead author on the new study.

About 6.2 million Americans suffer from heart failure, an incurable disease with a staggering mortality rate – some 40 percent of patients die within five years of diagnosis. Heart failure is one form of heart disease, for which new therapies are desperately needed. 

Now, in new work, scientists at the Lewis Katz School of Medicine (LKSOM) at Temple University identify a path to a promising novel therapeutic strategy, taking aim at a molecule in the heart known as G protein-coupled receptor kinase 5 (GRK5). In a study published online in the journal Cardiovascular Research, the scientists show in mice that reducing GRK5 levels can significantly improve survival following heart attack. 

“Previous studies had found that GRK5 is elevated in patients with heart failure,” explained Claudio de Lucia, MD, PhD, an associate scientist in the Center for Translational Medicine at LKSOM and lead author on the new study. “Our new research, in mice that experienced myocardial infarction (heart attack), shows that GRK5 overexpression is associated with physiological changes in the heart that decrease cardiac function.” 

Too much GRK5 in the heart was further linked to increased recruitment of immune cells into damaged heart tissue and harmful inflammation. The combination of these factors – reduced heart function and an influx of immune cells and inflammation – ultimately contributed to increased mortality in mice after heart attack.

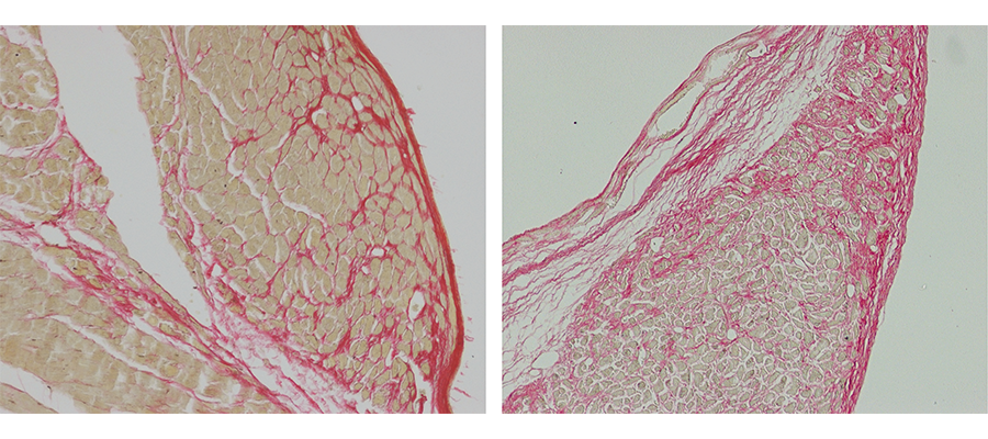
This image shows heart sections from mice that are 8 weeks post-heart attack (myocardial infarction): mice with increased levels of a protein known as GRK5 (right) shows augmented cardiac fibrosis compared to normal mice (left). These heart sections are histologically stained with Picrosirius red staining to identify fibrosis, which is replacement of viable heart cells with collagen. The hearts with elevated GRK5 levels have not only much more fibrosis but also worse cardiac function and outcomes after a heart attack compared to normal mice with normal levels of this protein.

Dr. de Lucia and colleagues, working with Walter J. Koch, PhD, W.W. Smith Endowed Chair in Cardiovascular Medicine, Professor and Chair of the Department of Pharmacology, Director of the Center for Translational Medicine at LKSOM, and senior investigator on the new study, examined GRK5 levels in the heart eight weeks after mice experienced heart attack. By that time, animals had developed a condition known as post-ischemic heart failure, in which heart function declines over time owing to reduced blood supply. Tissue damage that impairs circulation in the heart ultimately starves heart cells of the oxygen and nutrients they need to keep the heart working.

After establishing a link between increased GRK5 expression, decreased heart function, and decreased survival in the weeks following heart attack, the researchers explored the effect of manipulating GRK5 to lower its levels in the heart. To do this, they developed a GRK5 knockout mouse model, in which GRK5 expression was eliminated specifically from heart cells.

“After heart attack, our GRK5 knockout mice had much better heart function and better survival curves compared to wild-type mice with normal GRK5,” Dr. de Lucia explained. “This raises the possibility that GRK5 inhibition may be a viable therapeutic strategy in human patients, as well.”

The team’s future work will focus on GRK5 inhibitors and understanding their effects in animals with heart disease. “Highly selective drugs that block GRK5 are already available,” Dr. de Lucia said. “Our next step is to test these agents in animal models of heart failure in order to determine their effect on cardiac function and survival.”

Dr. Koch added, “Targeting abnormal levels and activity of GRK5 would represent a totally new drug class [for heart failure] that we hope will add important and innovative value to our fight against heart disease.”

Other researchers who contributed to the study include Laurel A. Grisanti, Department of Biomedical Sciences, College of Veterinary Medicine, University of Missouri; Giulia Borghetti and Steven R. Houser, Cardiovascular Research Center, Lewis Katz School of Medicine at Temple University; Michela Piedepalumbo, Jessica Ibetti, Anna Maria Lucchese, Eric W. Barr, Rajika Roy, Ama Dedo Okyere, Haley Christine Murphy, Erhe Gao, and Douglas G. Tilley, Center for Translational Medicine, Lewis Katz School of Medicine at Temple University; Giuseppe Rengo, Department of Translational Medical Sciences, Division of Geriatrics, Federico II University, Naples, Italy.

The research was supported in part by grants from the National Institutes of Health and the American Heart Association.