Weather Alert: Temple Health remains open, though some appointments or services may be adjusted. Patients will be contacted directly if their visit is affected. Please check TempleHealth.org for updates and monitor myTempleHealth for changes to scheduled appointments.

800-TEMPLE-MED Schedule Appointment
SEARCH TEMPLE HEALTH

Safety and Style: Temple Student-Physician Team Are Leading Research to Improve Awareness of Black Hairstyles in Diagnostic Imaging

View All News

Angela Udongwo, Lewis Katz School of Medicine student and one of this project's principal researchers. 

Imaging is how we get answers about our health. It’s the way we spot lesions and diagnose fractures; how we detect cancer and find out it’s in remission. But what those scans show can be open to interpretation—and sometimes, our assumptions can get in the way of an accurate diagnosis.

That’s what Lewis Katz School of Medicine student Angela Udongwo and Temple Health radiologist Hillel Maresky, MD are trying to highlight—and why their research on the radiologic appearance of Black hairstyles is so important.

“It’s very rare to find a topic that’s almost never discussed in the medical literature,” says Dr. Maresky. “But there’s been very little research on how popular Black hairstyles like braids, dreadlocks, and passion twists, appear on MRI, CT, and x-ray imaging.” 

This means that even radiologists who are up-to-date on the literature, but who don’t have much experience with Black hairstyles, might not know what these styles look like on a scan.

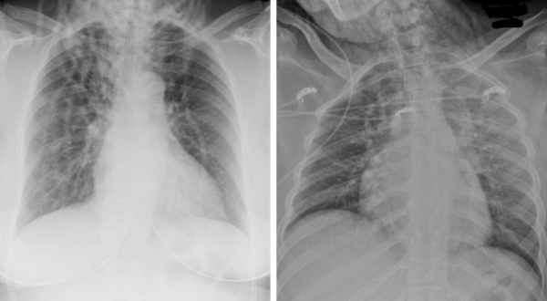
(Left) How a hairstyle of thick cornrows braided down presents on a chest x-ray; (right) how large braids present on a chest x-ray.

As Dr. Maresky explains, that’s a real problem. “Radiology is still a largely white profession, and many of us are biased in our thinking about what ‘normal hair’ should look like on radiologic imaging,” he says. “If an x-ray shows anything over the upper chest other than Caucasian hair, our first instinct is often that it’s abnormal, which can lead to a whole host of different—and incorrect—diagnoses.” 

For example, a radiologist might decide that "locs" —which appear as a series of wavy lines on an x-ray—are evidence of tuberculosis or pneumothorax: two diagnoses that require serious, and potentially life-changing, treatment.

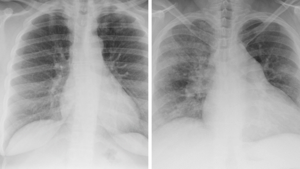
(Left) How large twists appear on a chest x-ray; (right) how small braids, starting with cornrows on the scalp, present on a chest x-ray.
 

Personal Expertise, Professional Impact

Preventing misdiagnosis—and helping radiologists better understand their patients—is what motivated Udongwo and Dr. Maresky to pursue this research. Udongwo, who is currently a third-year medical student, first joined Dr. Maresky through the Lewis Katz School of Medicine and Temple Health summer work program. As a Black woman who wears these hairstyles, she recognized that the project had real potential to improve healthcare for Black patients.

“There’s a real lack of understanding of Black hairstyles in the medical community,” she says. “Many physicians are not able to identify these, and might not feel like they can ask questions.” In her mind, though, asking questions is necessary—and she’s able to answer them from a place of experience.

“By taking the lead on this project, and being willing to answer these questions, Angela is doing something really brave,” Dr. Maresky says. “She’s giving physicians permission to admit what they don’t know, and to start educating themselves.”

That’s why their research is focused on educating radiologists—and Emergency Department physicians, too—about how Black hairstyles appear on scans. “We started by identifying the five popular Black hairstyles: small braids, large braids, small twists, large twists, and locs,” Udongwo says. 

She and Dr. Maresky then created a board with examples of each style, and prepared slides to show what they look like on different types of imaging. “We wanted to be able to tell radiologists, ‘This is how a certain style appears on a radiograph, a chest x-ray, and a CT slice,’” Udongwo explains.

Udongwo with the board showing the five most popular Black hairstyles.

Starting a Conversation

Udongwo, Dr. Maresky, and the rest of the team were able to present this research at a meeting of the Pennsylvania Radiologic Society—and they aren’t stopping there, either. Not only has their work garnered media attention, including an article in the Philadelphia Inquirer, but they also used their findings to develop a study geared towards educating physicians.

"We assessed physician and technician participants’ awareness of the presentation of these hairstyles in imaging,” Udongwo explains. “They took a survey that asked demographic questions, then looked at imaging film showing Black hairstyles. They were asked to identify whether the film shows a type of pathology—like tuberculosis, pneumonia, or pneumothorax—or an external artifact. We used the data from the survey to compare demographics with a self-reported level of awareness. This suggested that as physicians grow in their careers, their awareness grows as well.”

Udongwo sees these results underscoring the benefits of earlier education about hairstyles in imaging.

Udongwo and Dr. Maresky hope their efforts will improve diagnosis and open up space for a more diverse set of voices and experiences in the field. They’re fortunate to have the entire Temple radiology department—led by Gary Cohen, MD, who was one of the earliest physicians to recognize the importance of their research—behind them. 

Perhaps most importantly, they also have Udongwo, who plans to pursue a career in radiology, eager to continue to lead the project.

“This research is so personal to me, and I would love to keep presenting on it and raising awareness and having people ask questions,” she says. “And I want to keep hearing those questions, too—because that’s how you start a conversation.”